



当Clinicでは、すべてInterdisciplinary Treatment(包括的治療)を基本にしている。患者は38年間当Clinicで口腔管理をしている症例
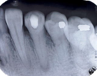
である。開業当初から当診療システムで38年間口腔管理をしている。Panorama、CTなどレントゲンを介しての顎骨・歯槽骨の形態・骨
量などを観察したもので、歯槽骨の吸収状態から診ても、ほぼ二十歳代に相当するように思われる。過去の論文を見ても、口腔内写真
程度がほとんどである。DentalやPanoramaを付加されている症例も少ない。CTやPocket Depthなどの詳細なデータは見られない。しか
も、審査・診察時点の症例が多く、長期経過(38年間)のデータの整っているものはみられない。生存症例ではトップクラスに位置するよ
うに思われる。歯科医や衛生士のその道のプロ達でも、ここまで維持できている人は少ないであろう。
当Clinicでは、Red complex(Porphyromonas gingivalis:P.G.、Treponema denticola:T.D)、Tannerella
forsythia:T.F.)とAggregatibacter
actinomycetemcomitans(A.A)を原因菌とした感染症対策と全身管理を主としたLifestyle Related Disease(生活習慣病)の一つとして治
療を行っている。
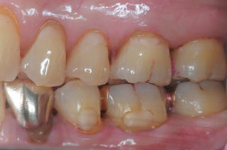
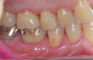
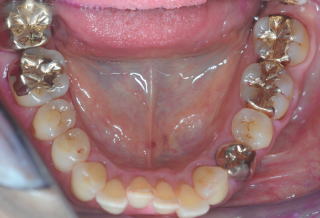
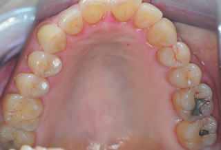
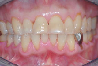
患者:83歳、女性
医療面接:子宮癌(全摘)、卵巣全摘、狭心症(1997年)、白内障手術(RL)(2009年)。帯状疱疹(体幹部、肋間神経支配部)(2010年)は当Clinicで治療。M.K.(胃癌)部分(1/2)開腹手術(2014年)。M.K.手術前の周術前口腔ケアでは、大学病院口腔外科受診時、担当医が口腔状態の良好状態に驚愕されたようだ。現在も毎月のS.P.T.(Supportive
Periodontal Therapy)を継続中。
■成功のKEYは患者サイドと医療サイドに











■Volume Rendering(CT)
■PERIODONTAL EXAMINATION
(図15)2015年7月27日、83歳。高年齢と残存歯数ばかりが問題視されているが、歯槽骨の状態、歯肉、Pocketの状態を含めた歯周病を評価すべきである
| MOBILITY | 0 | 0 | 0 | 0 | 0 | 0 | 0 | 0 | 0 | 0 | 0 | 0 | 0 | 0 |
| EPP(mm) | 3 | 3 | 3 | 3 | 3 | 2 | 2 | 2 | 2 | 2 | 3 | 3 | 3 | 3 |
| |
7 7 |
6 6 |
5 5 |
4 4 |
3 3 |
2 2 |
1 1 |
1 1 |
2 2 |
3 3 |
4 4 |
5 5 |
6 6 |
7 7 |
| EPP(mm) | 3 | 3 | 3 | 3 | 3 | 3 | 2 | 2 | 2 | 2 | 2 | 2 | 3 | 4 |
| MOBILITY | 0 | 0 | 0 | 0 | 0 | 0 | 0 | 0 | 0 | 0 | 0 | 0 | 0 | 0 |
著書“Diathermy”の著作権侵害となるため、禁無断転載・複写。
歯周病治療38年経過:83歳(女性)残存歯数28本




