
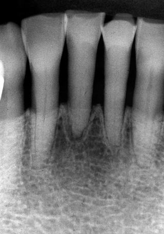
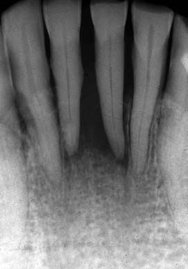
(図6)初診から33年経過(2008年1月7日)、71歳。咬耗は進んでいるが、骨植は堅固である

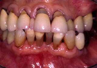
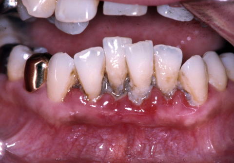
(図5)32年経過(2007年3月5日)、70歳。SPTの重要性とDiathermyの効果

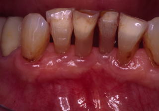
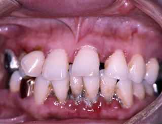
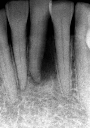
(図4)32年経過(2007年3月5日)、70歳。十分機能している

−歯周病の終末(T)−


−歯周病の終末(U)−


−長期経過症例(歯周病)−
当ClinicはすべInterdisciplinary Treatment(包括的治療)を基本にしている。禁煙、食事指導、Sugar Control、徹底的なPlaque Controlから開始する。その治療方法のItemの一つとしてDiathermyを取り入れることにより、長期に安定した症例が数多くみられるようになる。
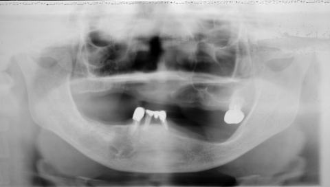
■症例:歯周疾患 (図1−6)
患者:71歳、女性。
著者が大学院学生時代からの長い付き合い(33年)の患者である。Sweetが大好物で、脂質異常症と高血圧症があるため、Sugar controlを常々指導するが、なかなか習慣は変えられないようである。長年、編み物教室の教師をしており、現在も毎日出張稽古で飛び回っているようである。ハイヒールをはいて社交ダンスを2〜3時間平気でしたり、毎年海外旅行へ行かれたり、非常に活動的な患者である。一時間かけて大阪から1回/月、定期的にSPTに努めてくれている。
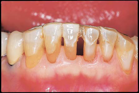
(図1)初診時(1975年10月15日)、38歳。歯肉出血が主訴で紹介された。当時、歯周疾患治治療は一部の臨床家以外はあまり関心が払われていなかった


(図2)初診時(1975年10月15日)、38歳。まず徹底的なPlaque Controlから始めた
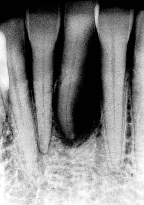
(図3)初診から2年後(1977年7月)、40歳。Splintせずに機能している

★歯周病の治療とは、20年30年と抜かずに、口腔内が健康でQOLを維持できることである★
★生活習慣病のため短期間で治癒する病気ではない★



(図5)2年後。Mesh plateで
固定(2002年4月)
(図4)初診時、63歳(2000年5月)
(図6)6年後。歯槽骨は非常に安定している(2006年3月)



(図7)6年後。急速に化骨がみられる
(2006年3月)


■症例:歯周病と歯科治療恐怖症(図4−8)
患者:63歳、女性、 週刊朝日(2006年6月)掲載症例。
診断および治療過程:当院で局所麻酔薬の皮内反応を調べた結果、シタネストのみ使用可能であった。しかし、患者は外科手術を極度に拒否したため、麻酔をまったく使用せず、治療は盲嚢掻爬とDiathermyに頼らざるを得なかった。
歯周膿瘍を頻発していた歯周組織がここまで回復した(図4−8)。
歯周治療の分野での外科的Diathermyは、誘電加熱(80−90℃)によるポケット内の静菌効果が主であるが、出力の調整次第では無麻酔科でCrettageと同等の処置も可能である。さらに、環境因子が整えばLong Waveによる骨芽細胞の活性化の可能性も推測された。
−重度歯周病への挑戦−
歯周疾患のなかで、特に重度歯周疾患での応用を症例別に紹介する。基本治療は従来・現行の治療法を進め、さらにDiathermyとメトロニダゾール(LDD-system)を併用することにより、時としてマジックのような症例に遭遇することがある。