
歯はpH5.5以下になると溶け始める。スポーツドリンクの多くは、酸性度が高く、pH3.0−4.0で“お酢”と同じである。

■スポーツドリンクのpH
■ゆずポン酢pH3.0

測定商品は弱酸性であったが,、多くはpH5.0前後が多い。象牙質はpH6.0で脱灰が始まるため、歯肉の退縮した中高年は常用すべきで無い
■炭酸水pH6.0

経口補水液(飲む点滴)で脱水状態時に飲用する病者用食品である。健康時にWalkingやJogging程度で飲用すべきで無い。脱灰と塩分過剰摂取の危険性が高い。Na含有量:115mg/100mlで500ml一本には梅干し1個(約2.0g)の食塩量を含む。高血圧の高齢者が常用するのは極めて危険である
■OS−1pH3.5

■TRITEST pH1-11
3色タイプ
MADE IN GERMANY
酸食症・Acid Erosin・Dental Erosin


患者:69歳、男性
高血圧にてコニール服用中(130/80mmHg)。HEAVY DRINKER(毎日ビール2〜3本、焼酎)。GOT(58IU/l),γ−GTP(174IU/l),高尿酸値(7.3m/dl)。高血圧予防として禁酒は出来ないため、減塩目的で長年醤油の代わりにポン酢や酢を多用していた。その結果、重度酸蝕症に罹患。さらにビール(pH4)と焼酎(pH5)が拍車をかけた。成人男性にしては極めて小さい歯牙形態に陥ってしまった。
■症例1-2:早速、pHを測定。検体が10
mlあれば数秒で測定可能



■症例3:シャインマスカットpH4.5
葡萄の中でもpHが高いことは、摂食中でも感じられる。
当然脱灰も少ない


■ポカリスエットpH3.7

■すだちpH1.9


■酢の物pH3.5

■ヨーグルトpH3.5
■左:脱灰されて、Enamel表面が粗造になると染色液が付着す
る
■右: Enamel亀裂に染色液が浸透しているが、固いEnamel質
表面には染色液は付着しない
■左:OS−1に約半日(14Hr)歯冠部を浸けておくとEnamel質表面が脱灰され、光沢が無くなり白くなる。この状態を毎日継続して、研摩剤入りの歯磨剤でBrushingすれば、摩耗は必然である
■右:お茶では脱灰されない。Enamel本来の光沢がある


■スポーツドリンク・他の飲料水のpH
| ポカリスエット(3.7) アクエリアス(3.0-4.0) コーラ(3.18) コカ・コーラ(2.4) レモネード(スプライト)(2.23) スプライト・ライト(2.98) ファンタ・オレンジ(2.86) ペプシ・コーラ(2.53) 7-アップ(3.2) |
| pH 2 3 4 5 |
予防方法
1:飲まない、食べないこと。
2:もし摂取・飲用した場合は、口腔内に溜めずに早く飲み込み、お茶または水でブクブクうがいをして、30分後にブラッシングする。
3:すぐにブラッシングすると、表面の軟らかくなった部分が容易に削り取られる。
4:時間が経過すると唾液の緩衝能で多少pHは戻る。その後、ブラッシングすると良い。
5:摂取の仕方を考えて食べる。先に油っこい食事をしてから酸性食品をとるなど。天ぷらや揚げ物を先に取ってから、シメに1品“酢の物”を!血糖値上昇を防ぐため、野菜を先に取ってから糖質やタンパク質を後で取るのと同様。
6:唾液分泌が減少するスポーツの後や就寝前は、pHの低い飲食物を取らない。
★ 酢の力! こんなにカンタン!味おいしい、体にうれしい食生活のこつ
企業の宣伝広告に欺されてはいけない。口腔内環境は劣悪な状態に陥る。
★料理研究家・栄養士・食事指導をする内科医師の方々、口腔内環境も充分理解した上で、“酸性食
品”を勧め、良い摂取方法が有れば教えて頂きたい。
★黒酢、食用酢、ドレッシングなども健康食と盛んに言われているが、Enamel質溶解を考えると危険な“モノ”である★
■1 酸性食品か否かの鑑別には、酸化膜や不導体被膜の付着した¥10コインを利用する。醤油を滴下して放置
■2 醤油内の有機酸で酸洗いされ、約10minでCu本来の色が出現する。歯の溶解の危険を考慮する




梅干し・Acid Erosin・Dental Erosin→知覚過敏
■サラダドレッシングpH4.0

■症例1−2 酸蝕症 Acid Erosion
前歯舌面と臼歯咬合面のEnamel質が消失。当然咬合高径が低くなり、過蓋咬合になる。研磨剤入りの歯磨剤がEnamel質消失を加速した
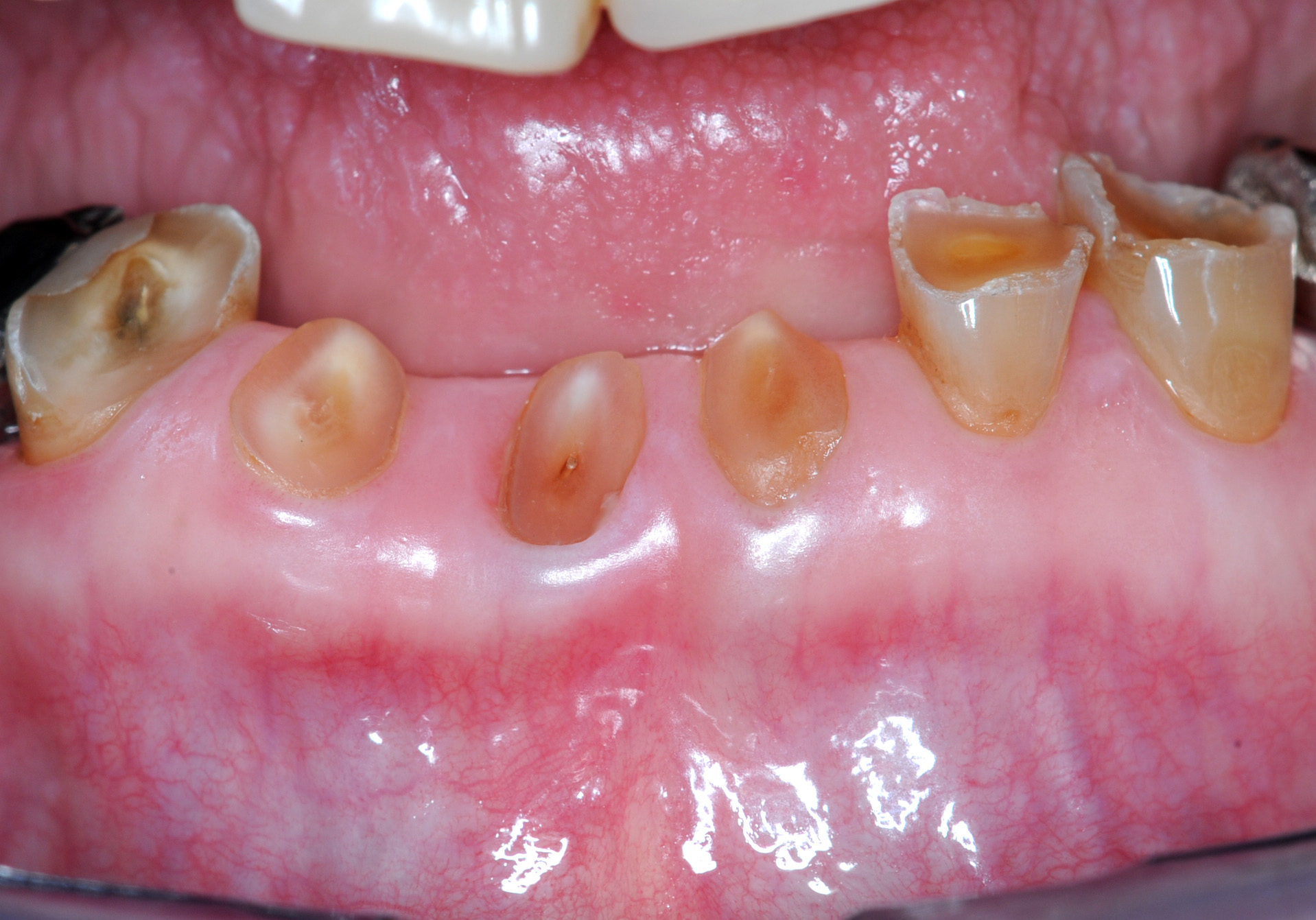
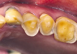
■症例1−1 酸蝕症 Acid Erosion(酢・ポン酢・ビール・焼酎)
全顎に渡り、唇側は酸蝕のためEnamel質が薄くなり、歯頸部付近では象牙質まで露出。Plaque Controlが悪いため、特徴的な歯頸部に表在性のう蝕と着色が診られる。咬合高径が小さいため、義歯の設計が極めて困難である。当然Under
Cutもほとんどなくなっている



■症例2:筆者は、以前から巨峰を10個ほど食べると、歯牙脱灰感を感じていたので、早速pHを測定。結果pH3.6。
葡萄でも食べ方を考えないと、歯を溶かしてしまう



■レモン果 汁pH1.0
■ゆずドレッシングpH2.0

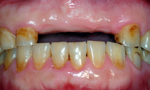
■症例1−3 酸蝕症 Acid Erosion
前歯切端と臼歯部咬合面に診られる広範囲のEnamel質欠損


■症例3:酸食症 Acid Erosion
患者:75歳、女性。
ドレッシング、オレンジ、“酢の物”さらに黒酢が好物で、毎日常用。数十年の結果、大切なEnamel質は消失し、咬合高径まで低くなってしまった

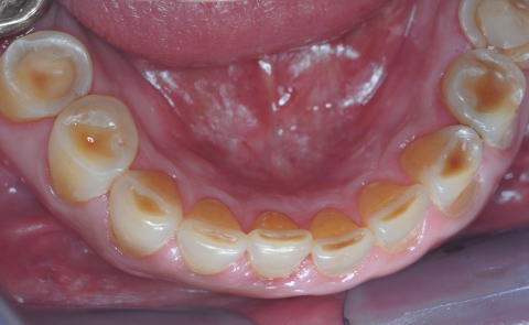
■症例2:酸食症 Acid Erosion
患者:73歳、女性。
咬合面Enamel質はすべて溶解している。数十年間毎日“酢の物”を食べ、おまけに残った小皿の“酢”まで飲んでいた。さらに研磨剤入りの歯磨剤を使用していたのが、酸食症に拍車をかけた。“酢”を止め、歯磨剤をリンスに変更し、内科的Diathermyを透射すれば、知覚過敏は即座に消退した

■症例1:酸食症 Acid Erosion
患者:54歳、女性。
当クリニックで装着したインレーが島状に浮き上がっている。(周囲のエナメル質の溶解)。6ヵ月間、就寝前に酸性水(通信販売)でうがいをしていた。使用した“強酸性水”のpH3.0以下。失ったEnamel質は戻らない

■症例1-3:結果はpH3.5。直ちに飲用を中止さ
せる。内科的Diathermy透射で症状は消退。以後、
再発は診られない。炭酸系飲料が増える夏場は、
特に注意を要す
●pH試験紙が臨床では有益:ロールタイプが有用で安価。
●乾燥剤を入れ、密封保存すれば長期安定する 。

現在はDigital pH測定器が主流になっているが、pH校正が必要なことはAnalogと変わりはない。標準液にはpH7,4,9が有り、pH7を基準に0補正をし、次に4や9で揺れ幅補正をする(2点校正)。標準液は、空気中の炭酸ガスを吸収してpHが下がるので、保存状態の悪いものや開封後長期間経過したものは使用出来ない。臨床では毎日測定しないこと、しかも絶対値も必要でない。便利なのは”pH試験紙”である。
筆者が活用しているのは下記の2種類で、各々2回想定して両者の平均色調で判定している。管理が楽で安価、しかも酸性食品以外の使用薬剤の劣化(pH変化)も瞬時に対応できるので長年愛用している。筆者は長年研究室(免疫学)でAnalog式ph測定器を使用していたが、研究や実験で使用するので無ければ、臨床用や家庭用として活用するのであればpH試験紙で充分である。早く糖度計のような測定器の出現を望む。
■UNIVERSAL pH1−14
一色タイプ
高果糖液糖や果糖ブドウ糖液糖 などの表示のあるものは、このように多くの砂糖が含まれている。100ml飲めば1日の糖分摂取量になってしまう。
★軽いスポーツや普段の生活ではスポーツドリンクは必要ありません!水またはお茶で十分です!★
★運動時のスポーツドリンクは、ストローを活用して酸性飲料が歯に触れないように工夫!★
■スポーツドリンクと糖尿病・歯周病
スポーツドリンクには高果糖液糖、トレハロースなど、血糖値を上昇させる成分が入っ ているため、血糖値が上がる。また、糖分が多いため歯周病の進行も進む。水やお茶は血糖値が上がる心配もなく安全である。
| 商品名 | カロリー(Kcal) | 糖質(g/100) |
|---|---|---|
| ポカリスエット | 24 | 6.7 |
| アミノサプリ | 24 | 6.0 |
| エネルゲン | 24 | 5.5 |
| アクエリアス | 21 | 5.0 |
| サプリ | 18 | 5.0 |
■スポーツドリンクと糖分
| レモン(1.0) すだち(1.9)梅干し(2.0) りんご(2.9) ブドウ(3.5) 桃(3.1) 炭酸飲料(2.6-3.4) 黒酢ドリンク(3.3-4.3) 乳酸飲料(3.7-4.4) ワイン(2.8-3.2) ビール・発泡酒(3.8-4.1) ドレッシング(3.0) ヨーグルト(4.0) 焼酎(5.0) |
| pH 2 3 4 5 6 7 8 |
■その他のpH
“酸性飲食物摂取後のブラッシングは、30分以上空けた方が良い”をマスコミが「酸性飲食物」を省いてマスメディアに流したため、多くの患者に戸惑いを与えた。一部衛生士までもその情報を信用する者まで現れた。今だに、時々患者から質問されることが有り、マスメディアの影響力に感心させられる。
スポーツドリンク、清涼飲料水、ワイン、一部の果汁やハーブティーなどに含まれている“酸”は歯を溶かす。とくに酢や炭酸、クエン酸やアスコルビン酸の入った飲料水に注意が必要である。予防は飲まない事ですが、もし摂取した後は、水やお茶でうがいし、ブラッシングは30分位空けてから行う。すぐブラッシングをすると、脱灰直後では容易に歯が摩耗するので危険である。当Clinicでは20年以上も前から注意を促しているが、健康飲料として“黒酢”を飲み続け知覚過敏を発症する症例が多い。画期的な治療法に関しては著書に詳しく掲載している。最近やっとNHKでも取り上げ、問題視されるようになってきた。重度知覚過敏症の原因は歯周病に起因する症例よりも、“酸”により併発する症例が多い。“酸”の摂取を制限すると、直ちに軽減する。
夏場、若い人は“炭酸系の飲料水”で、健康を考える高齢者は“酢”で歯牙表面を溶かす。その結果、冬場は冷たい風や水道水で知覚過敏を併発する症例が多くなる。酢の被害を知らずに料理番組で”酢の物”を勧めるのはのは控えていただきたい。勧めるのであれば、食べ方も提案すべきである。これらが原因で発症した知覚過敏症はジアテルミーでほとんどその場で症状を抑える事ができるが、まず、原因を除去する事が基本である。